2 min de lecture

Pneumothorax : quels sont les symptômes et comment le traiter ?

Dans le dernier épisode de "Symptômes", la sage-femme Sophia Rakrouki raconte son combat contre un pneumothorax spontané, initialement pris pour du stress. Un témoignage qui souligne l'importance d'écouter son corps.

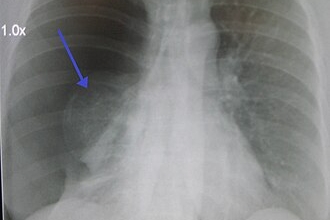
Image d'un important pneumothorax spontané droit

Crédit : James Heilman, MD

BONUS - 3 questions supplémentaires à Sophia Rakrouki, sage-femme

00:06:03

Sara Kemacha

Je m'abonne à la newsletter « Infos »

Dans le dernier épisode de Symptômes, la sage-femme Sophia Rakrouki partage son expérience personnelle avec une affection méconnue mais potentiellement grave : le pneumothorax spontané. Cette condition, qui survient sans traumatisme apparent, peut entraîner des complications sévères si elle n'est pas rapidement identifiée et traitée.

Le pneumothorax spontané se caractérise par l'accumulation d'air dans la cavité pleurale, provoquant le décollement du poumon de la paroi thoracique. Les symptômes peuvent inclure des douleurs thoraciques soudaines, une sensation d'oppression, des difficultés respiratoires et, dans certains cas, une paralysie temporaire du bras. Ces manifestations peuvent être confondues avec des signes de stress ou d'autres affections, retardant ainsi le diagnostic.

Dans le cas de Sophia, les douleurs thoraciques ont été initialement attribuées au stress lié à ses études de médecine. Ce n'est qu'après plusieurs consultations et un passage aux urgences que le diagnostic de pneumothorax a été posé. Un examen radiologique a révélé un décollement complet du poumon gauche, nécessitant une intervention chirurgicale d'urgence pour rétablir la fonction pulmonaire.

Quel traitement ?

Le traitement du pneumothorax dépend de sa gravité. Dans les cas légers, une simple observation peut suffire, mais les cas plus sévères, comme celui de Sophia, nécessitent souvent la pose d'un drain thoracique pour évacuer l'air et permettre au poumon de se recoller à la paroi thoracique. Si le drain ne suffit pas non plus, une intervention chirurgicale est nécessaire pour créer des adhérences artificielles et prévenir les récidives.

À lire aussi

Bien que cette affection soit plus fréquente chez les hommes jeunes, grands et minces, elle peut survenir chez n'importe qui, indépendamment de ces facteurs de risque. Il est donc crucial de ne pas sous-estimer les symptômes et de consulter un professionnel de santé en cas de doute.

Pour en savoir plus sur cette affection et découvrir l'histoire complète de Sophia, écoutez "Symptômes" sur l'application RTL, RTL.fr et toutes nos plateformes partenaires.

À écouter

81. Douleurs thoraciques : quand une patiente est sauvée in extrémis

00:22:49

La rédaction vous recommande
À écouter aussi

L’actualité par la rédaction de RTL dans votre boîte mail.

Grâce à votre compte RTL abonnez-vous à la newsletter RTL info pour suivre toute l'actualité au quotidien

S’abonner à la Newsletter RTL Info

En Direct

/

Bienvenue sur RTL

Ne manquez rien de l'actualité en activant les notifications sur votre navigateur

Cliquez sur “Autoriser” pour poursuivre votre navigation en recevant des notifications. Vous recevrez ponctuellement sous forme de notifciation des actualités RTL. Pour vous désabonner, modifier vos préférences, rendez-vous à tout moment dans le centre de notification de votre équipement.

Bienvenue sur RTL

Rejoignez la communauté RTL, RTL2 et Fun Radio pour profiter du meilleur de la radio

Je crée mon compte