2 min de lecture

Australie : des vers découverts dans le cerveau d'une femme

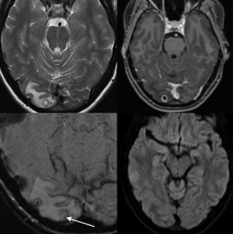
VU DANS LA PRESSE - Une Australienne de 25 ans souffrait de migraines à répétition. Une IRM a révélé la cause de ses maux : des larves de ténia étaient logées à l'arrière de son cerveau.

Une IRM a révélé la présence d'un tas de larve de ténia à l'arrière du cerveau de la jeune femme.

Crédit : The American Journal of Tropical Medicine and Hygiene

Marie Gingault

Je m'abonne à la newsletter « Infos »

Depuis sept ans, une jeune australienne âgée de 25 ans souffrait de maux de tête à répétitions, entraînant de violentes migraines. Les médecins lui ont d'abord diagnostiqué un kyste au cerveau. Seulement, au moment de l'opération, ces derniers se sont rendus compte qu'il s'agissait en réalité d'un amas de larves de ténia. 

Depuis ses 18 ans, Rachel Palma, une serveuse de Melbourne, souffrait régulièrement de maux de tête ainsi que d'une baisse de vue inexpliquée. Lorsque la jeune femme se décide enfin à consulter un médecin, le corps médical lui diagnostique un kyste à l'arrière du cerveau. Une IRM a révélé qu'elle souffrait d'une lésion de 8mm de long dans le lobe occipital. 

En réalité, la grosseur dont souffrait l'Australienne était un tas de larves de ténia, selon une étude de cas publiée dans The American Journal of Tropical Medicine and Hygiene et rapportée par le média The Independent.  

Une IRM a révélé la présence d'un tas de larve de ténia à l'arrière du cerveau de la jeune femme.

Crédit : The American Journal of Tropical Medicine and Hygiene

Qu'est-ce que le ténia ?

Ce sont des tests ADN qui ont révélé la nature du tissu. Le Taenia solium, est aussi connu sous le nom de ténia du porc, car c'est par la consommation de viande de porc, pas assez cuite, que cela se transmet le plus souvent

À écouter aussi


Le ténia est une sorte de vers solitaires, qui se trouve dans certaines régions asiatiques, africaines ou d'Amérique du Sud. Rachel Palma souffrait d'une neurocysticercose. Il s'agit d'une maladie habituellement diagnostiquée chez les habitants des régions cités, ou chez les voyageurs qui en reviennent. 


La cysticercose survient après que la personne malade ait ingéré des œufs de ténia du porc. Il s'agit de la première cause d'épilepsie à Madagascar et La Réunion. Les œufs se déplacent alors dans les vaisseaux sanguins et viennent se loger dans certains organes, muscles ou le cerveau comme c'est le cas dans le cas présent, on parlera donc de neurocysticercose.

Le premier cas local

Le problème, c'est que la jeune Australienne n'a pas voyagé ni séjourné dans l'une des zones concernées ces dernières années. "On pense que c'est le premier cas natif de neurocysticercose - la maladie causée par une infection du système nerveux central par des larves de ténia - en Australie", pensent les auteurs de l'étude de cas, publiée dans The American Journal of Tropical Medicine and Hygiene. 
En effet, des cas ont précédemment été recensés en Australie, toutefois, ils concernaient uniquement des immigrants ou des résidents de retour d'un séjour dans l'une des régions endémiques. Les médecins précisent néanmoins que la jeune serveuse vit dans une région de Melbourne où plus de 10% des habitants sont nés en Asie.

Ainsi, les chercheurs pensent qu'il est possible que Rachel Palma ait ingéré involontairement des œufs de ténia solium, libérés par un autre porteur, qui, lui, reviendrait d'un pays touché. "Il est possible que d'autres cas surviennent", ont-ils ajouté. "Les cliniciens doivent être conscients qu'avec la facilité et la fréquence des voyages dans le monde, les maladies qui sont hautement endémiques dans de nombreuses régions du monde présentent un risque pour les habitants des pays à faible endémicité", ont conclu les scientifiques.

La rédaction vous recommande
À lire aussi

L’actualité par la rédaction de RTL dans votre boîte mail.

Grâce à votre compte RTL abonnez-vous à la newsletter RTL info pour suivre toute l'actualité au quotidien

S’abonner à la Newsletter RTL Info

En Direct

/

Bienvenue sur RTL

Ne manquez rien de l'actualité en activant les notifications sur votre navigateur

Cliquez sur “Autoriser” pour poursuivre votre navigation en recevant des notifications. Vous recevrez ponctuellement sous forme de notifciation des actualités RTL. Pour vous désabonner, modifier vos préférences, rendez-vous à tout moment dans le centre de notification de votre équipement.

Bienvenue sur RTL

Rejoignez la communauté RTL, RTL2 et Fun Radio pour profiter du meilleur de la radio

Je crée mon compte